Beyond Beauty: The Functional Benefits of Cosmetic Dentistry

A healthy, beautiful smile plays a major role in your confidence and self-esteem. This can be a key component in personal and professional success, especially when it comes to building close relationships and developing new opportunities. Fortunately, cosmetic dentistry offers more than just aesthetic improvements to your smile. It can also help restore the function of your teeth to promote better oral health and a healthier overall lifestyle.

A common misconception is that cosmetic dentists only focus on making your smile look better. However, a qualified cosmetic dentist will have extensive training and practical experience with a wide range of treatments, vast technical knowledge of how they work, and a refined artistic touch. In addition, many procedures are quick and relatively painless compared to other dental treatments. And because most cosmetic treatments don’t require an extended recovery period, you can get back to your normal routine right away.

Enhanced Self-Confidence
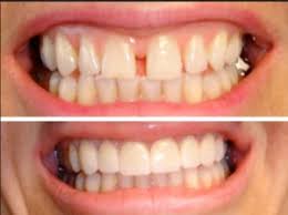
Cosmetic procedures can enhance your confidence and self-esteem by improving the appearance of your smile. A smile that’s straighter and healthier-looking sends a message to others that you take pride in your appearance and care about your oral health. And this can lead to better interactions with others and a greater sense of well-being in all aspects of your life.

Improved Oral Function
One of the most overlooked benefits of cosmetic dentistry is that it can play a critical role in promoting better oral health. Cosmetic procedures like dental implants and veneers can strengthen damaged or weakened teeth, which can prevent future tooth decay and gum disease. And procedures such as crowns, bridges, and fillings can restore and replace missing or broken teeth to prevent shifting and other serious oral health issues.

As a result, cosmetic dental treatments not only boost your self-esteem and confidence, they can improve the way you interact with others and the way you care for your teeth and gums. With proper oral hygiene and regular checkups, your improved smile will last for a lifetime!

In the past, many people were hesitant to undergo cosmetic treatment because they didn’t want to deal with the pain and inconvenience of recovering from surgery. However, with advanced techniques and modern materials, the majority of cosmetic treatments are quick and painless. And because they’re incredibly versatile, you can choose which cosmetic treatments best suit your needs and preferences.

With a little bit of time and effort, you can achieve your dream smile. From whitening to veneers, there’s a procedure that’s perfect for you! So don’t wait any longer – contact your local cosmetic dentist to learn more about how you can improve the look and feel of your smile. The results will be worth it. So if you’re ready to give yourself the gift of a gorgeous smile, schedule an appointment with the dental office near me today.